Portal do Governo Brasileiro
Atualize sua Barra de Governo
C
C
C
C
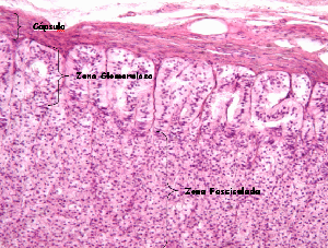
Sistema Endócrino
Clique na imagem para ampliá-la
Listar Todas
Voltar
Escolha o site e o local onde quer compartilhar
Nenhum site disponível para compartilhar